Nature Knows and Psionic Success
God provides

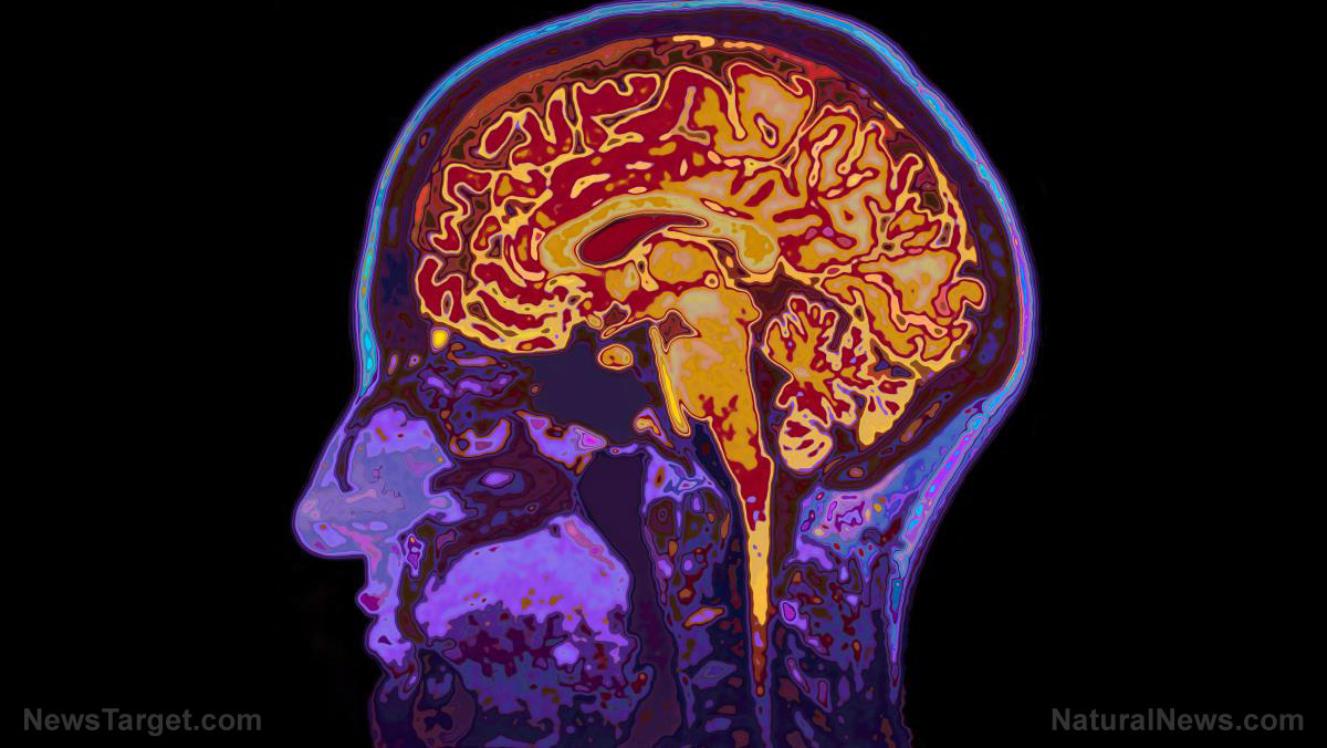
( Natural News ) Alzheimer’s disease may be one of the most fearsome health conditions common among the elderly. Imagine gradually losing your memory while your body weakens. But the risk of Alzheimer’s may be a thing of the past as pyrroloquinoline quinone (PQQ), a micronutrient in plants, has been found to have the ability to halt the progress of this neurological disease . Alzheimer’s disease was discovered shortly after the turn of the 20th century. More than a century later, scientists have yet to identify a definitive cause behind the disease. There are suspicions that oxidative stress from the accumulation of free radicals is involved. Free radicals are unstable molecules that oftentimes, bear oxygen molecules. They are a by-product of the body’s natural metabolic process, although they may also come from environmental factors (such as UV exposure) or be the result of certain diseases. Free radicals are among the most common causes of cellular damage. The brain, having the highest oxygen requirement among all the organs in the body (about 20 percent of your oxygen supply goes to the brain alone), is especially vulnerable to damage caused by free radicals. This is why one of the methods for delaying the onset of Alzheimer’s is to consume foods rich in antioxidants, compounds that neutralize free radicals. Another possible cause of Alzheimer’s has to do with your cells’ mitochondria. These organelles or cell parts are called “powerhouses” because they process and release energy from the food you eat. Several studies in recent years have noted that Alzheimer’s cases coincide with alterations in the mitochondria and its function . One even concluded that healthy mitochondria is the key to stopping Alzheimer’s in its tracks. 100% organic essential oil sets now available for your home and personal care, including Rosemary, Oregano, Eucalyptus, […]
Click here to view full article